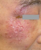
60歳M
 2025年4月8日朝、路上で転倒。〇〇外科整形外科を受診し軟膏とガーゼで治療。家族が顔の傷は整形外科でなく形成外科だとアドバイスし、ネット検索してくれた。
 4月9日、当院受診。ハイドロコロイド包帯 アドバンスで患部被覆。

4/9 4/14


 新しい創傷治療   なつい
キズとやけどのクリニック
 
 湿潤治療:医師リスト

【なつい式湿潤療法®
【なついキズとやけどのクリニック】
【新しい創傷治療】