1歳1ヶ月女。
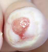
2017年4月7日,母親が使っていたアイロンに右足が触れて第1趾に熱傷受傷。様子を見ていたが水ぶくれができて治らないため〇〇小児科医院を受診し,当科紹介となる。
4月10日,受診。水疱膜を除去し,プラスモイストで治療。
![]() |
![]() |
![]() |
|
| 4月10日 | 4月12日 | 4月14日 |
![]() |
![]() |
![]() |
|
| 4月17日 | 4月19日 | 4月24日 |
![]() |
|||
| 5月1日 |
【アドレス:http://www.wound-treatment.jp/next/case/hikari/case/2651/index.htm】
【なついキズとやけどのクリニック】
【新しい創傷治療】